Dr. Ashish Shah

Treatment of Severe Pain with Root Canal Treatment

Dr. Ashish Shah

Traetment of Severe Pain with Root Canal Treatment

A  aptient complains of severe pain when he calls our office.His appointment is scheduled asap.

On examination it is found that he has several decayed teeth.The pain is sponteneous ,without any trigger factors like chewing or drinking and especially at night.

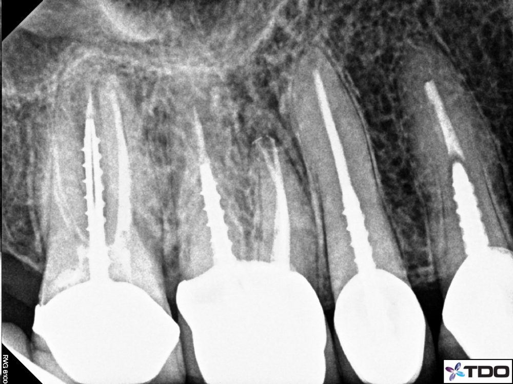
After careful examination it is decide to start the endodontic therapy[Root Canl Treatment[ right away.The root canal is opened and cleaned and a suitable dressing is given.

The aptient reports the next day with absolutely no pain.Other Root Canls are also completed as planned.

Sebsequently Posts are placed and crowns are fabricated.

Share