



A Radiant Smile in Just 45 Minutes: In-Office Teeth Whitening at Dr. Ashish Shah & Associates, Mumbai
Getting married soon? Want a brighter smile instantly?
In-Office Single Sitting Teeth Whitening!
That’s exactly what brought a young bride-to-be to our dental clinic in Mumbai just a few days ago.
At only 23 years old, she was glowing with excitement for her big day, but she had one small wish—a brighter, more confident smile for her wedding photos. And we knew just how to help.
Why Wait Weeks for Results?
Let’s face it—home whitening kits can take days or even weeks, and over-the-counter strips just don’t deliver the wow factor.
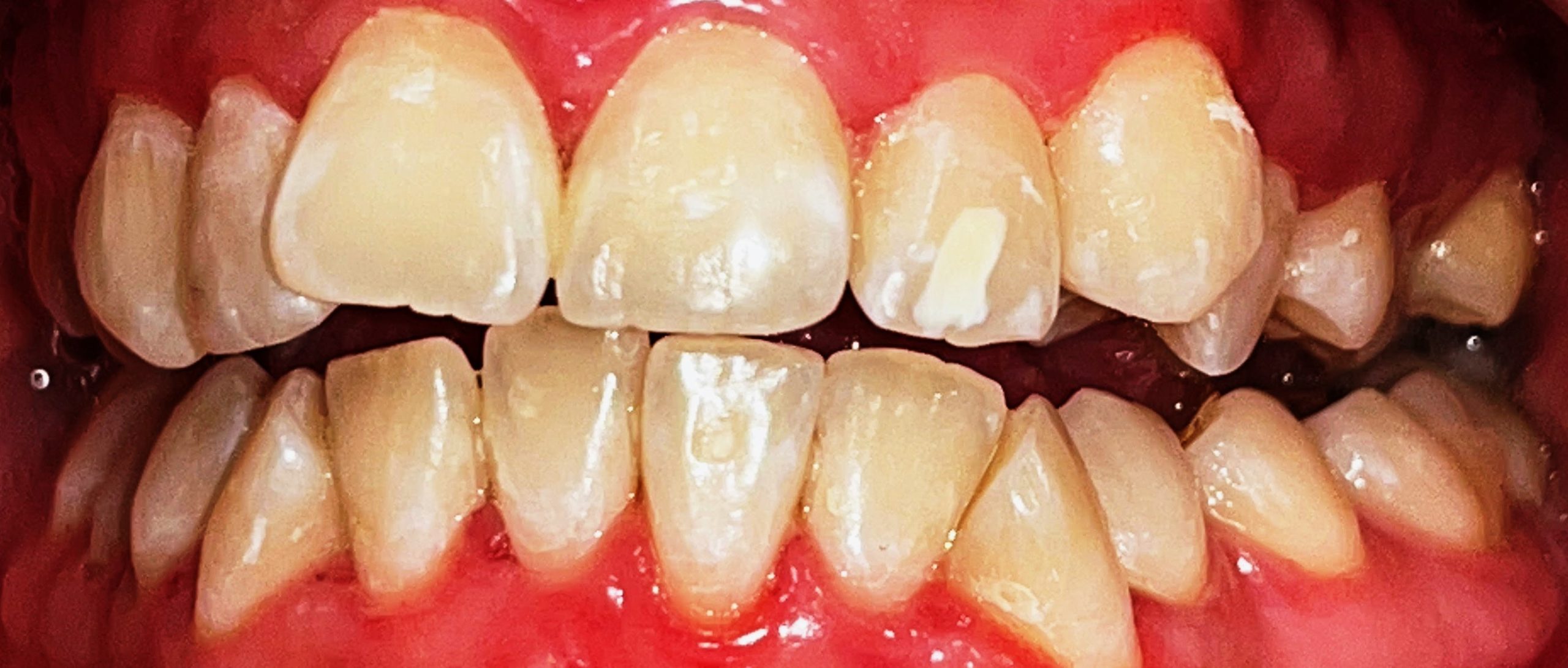
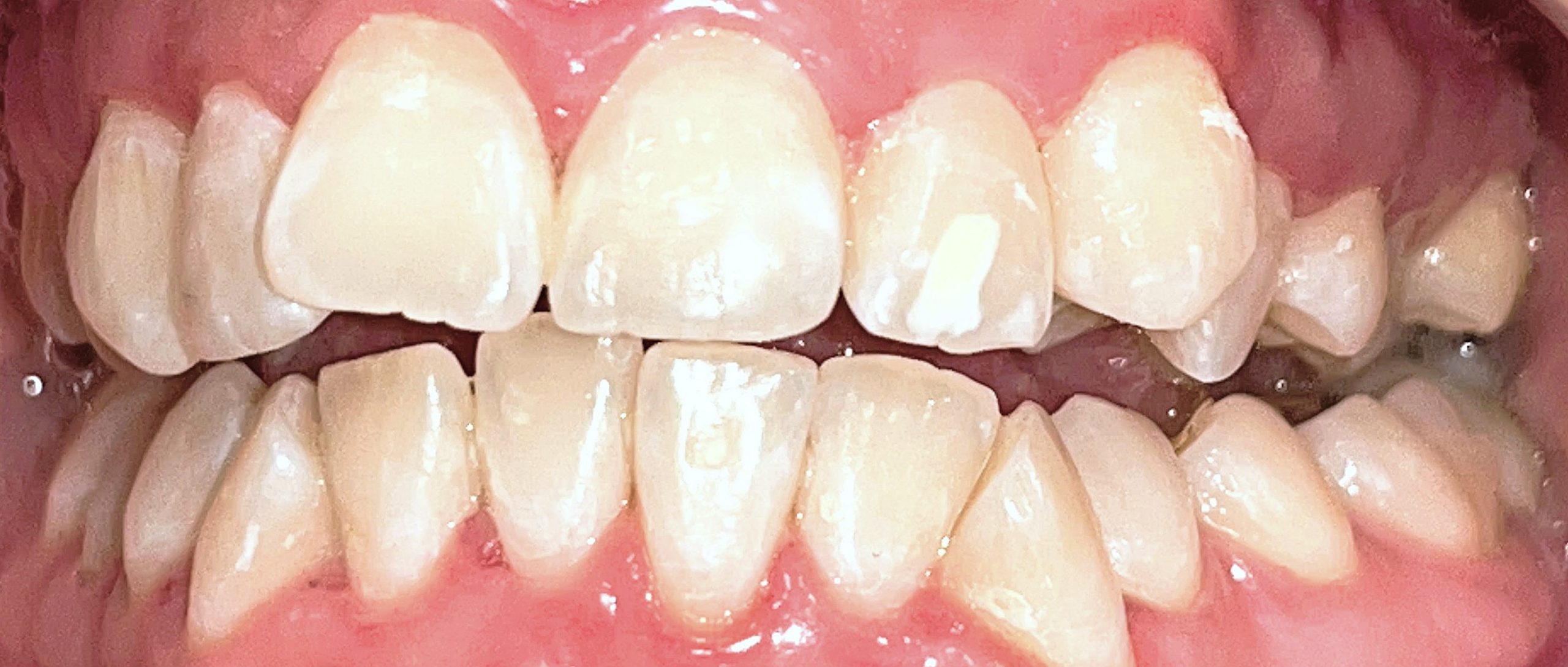
But what if I told you that in just 45 minutes, you could walk out of our clinic with teeth up to 8 shades whiter? That’s exactly what happened during our In-Office Single Sitting Teeth Whitening treatment.
What Makes Our Whitening So Effective?
At Dr. Ashish Shah & Associates, we use the latest, professional-grade whitening technology that is:
✅ Safe for enamel
✅ Gentle on gums
✅ Powerful for fast results
✅ Clinically supervised from start to finish
We combine state-of-the-art whitening gels with LED-activated light systems in a carefully calibrated protocol, ensuring results you can see immediately. And yes, it’s absolutely pain-free.
A Real Story, Real Results
Our young patient had no time to spare. With her wedding just around the corner, she needed results—fast.
Here’s what we did:
-
Assessed her tooth shade and dental history
-
Protected her gums and soft tissue
-
Applied the professional whitening gel
-
Activated it using our LED light system in three 15-minute sessions
-
Monitored the shade change after each round
Total time: 45 minutes.
Result: A sparkling white smile and a very happy bride-to-be.
Why Choose Us for Teeth Whitening in Mumbai?
Mumbai has no shortage of dental clinics. But when it comes to combining science, precision, aesthetics, and comfort, Dr. Ashish Shah & Associates stands out.
Here’s why patients trust us:
🦷 Over 35 years of clinical experience
💡 Cutting-edge technology, including CAD/CAM, Intraoral Scanners, and AI-assisted diagnostics
🧬 Advanced bioengineering protocols for safety and long-term oral health
🏥 Strict sterilisation and hygiene protocols
👩⚕️ Personalised treatment by a highly skilled and caring team
We believe that a smile is more than just white teeth—it’s confidence, charm, and expression.
Who Can Benefit from In-Office Whitening?
This treatment is ideal if you:
-
Have an upcoming wedding, photoshoot, or event
-
Want an instant confidence boost
-
Are you tired of dull, yellow teeth from coffee, tea, or smoking
-
Want a safe, professional option over DIY kits
Whether you’re a student, working professional, or bride-to-be like our recent patient, you deserve to smile your brightest.
Book Your Smile Makeover Today
Don’t let stained teeth dull your moment.
If you’re in Mumbai and looking for fast, professional teeth whitening, we’ve got you covered.
📍 Visit us at Dr. Ashish Shah & Associates, Mumbai
🌐 Learn more at www.DrAshish.com
📞 Call now to book your appointment: +91 [9321122002]
💬 What Our Patients Say:
“I couldn’t believe the change in just one sitting. The results were instant, and the team made me feel so comfortable. Thank you, Dr. Ashish!”
— S.K., Bride-to-be
Final Word
Your smile deserves the spotlight. Whether it’s for your wedding or just because you’re ready for a change, In-Office Single Sitting Teeth Whitening at our clinic delivers results that speak for themselves.
One visit.
One hour.
One stunning smile.