Root Canal

Dr. Ashish Shah

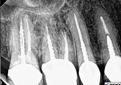
Treatment of Severe Pain with Root Canal Treatment

Traetment of Severe Pain with Root Canal Treatment A  aptient complains of severe pain when he calls our office.His appointment is scheduled asap. On examination it is found that he has several decayed teeth.The pain is sponteneous ,without any trigger factors like chewing or drinking and especially at night. After careful examination it is decide to start the endodontic therapy[Root Canl Treatment[ right away.The root canal is opened and cleaned and a suitable dressing is given. The aptient reports the next day with absolutely no pain.Other Root Canls are also completed as planned. Sebsequently Posts are placed and crowns are fabricated.

dental clinic near me

Dr. Ashish Shah -Endodontist

Dr. Ashsh Shah Dr. Ashish Shah is a qualfied Endodontist from the University of Bombay.He completed his masters in 1993.He has a rich experience of almost 30 years as of now in 2020.He is in Private Practice in Mumbai,India.He is passionately involved In the use of latest techological advancements in the field of Endodontics. 99% of the cases are done in a single visit ! The practice uses 1]Lasers 2]Rotary instruments from leading manufacturers like Micro-Mega,Dentsply Sirona 3]Pup Testers 4]Apex Locators 5]RVG etc  

Pain-free Root Canal Treatment with Lasers,Disposable Rotary and Gutta Core Obturation

We all think Root Canal Treatment is very painful. In fact, a lot of people get treated for Dental Problems with Root Canal Treatment. Read More