Braces
Dr. Ashish ShahJune 17, 2011Comments Off on Drashti’s Journey with Ceramic Braces02.3k
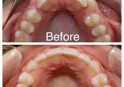
Drashti’s Journey with Ceramic Braces
- 3M Incognito Dental Braces
- Aligners
- Braces
- Centre For Advanced Dentistry
- ceramic braces
- Clear Braces
- ClearPath
- Clinic offering Invisalign in Mumbai
- Computer Guided Implant Surgery
- Continuing education In Dentistry
- Cosmetic Dentist
- Cosmetic Dentistry
- Dental Course
- Dental Education
- Dental Implant Course
- Dental Implant Training In Mumbai
- Dentists in Mumbai
- Dr.Ashish Dentist
- Dr.Ashish Shah
- DrAshish Dentist
- Invisalign
- Invisible Braces
- Lingual Braces
- Mumbai Dentist
- Orthodontic Treatment in Mumbai
- Tooth Veneers
- Types OF Braces
Share
Related Articles
Braces
January 2, 2012Comments Off on Teeth Braces by the Authority in Braces
Teeth Braces by the Authority in Braces
Braces
October 22, 2011Comments Off on Orthodontic Treatment with Crystal Braces
Orthodontic Treatment with Crystal Braces






