A young female executive working in Mumbai panics when she trips and breaks her Front Teeth.
She has an important meet and her confidence is missing.She breaks down completely.
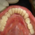
Just look what Cosmetic Dentistry did for her.
Pictures can tell more than a thousand words.
Dr.Ashish
[wp_fancybox_media url=”https://www.drashish.com/wp-content/uploads/2018/10/Cosmetic-Dentist-img01.jpg” type=”image” hyperlink=”https://www.drashish.com/wp-content/uploads/2018/10/Cosmetic-Dentist-img01.jpg”]
[wp_fancybox_media url=”https://www.drashish.com/wp-content/uploads/2018/10/Cosmetic-Dentist-img02.jpg” type=”image” hyperlink=”https://www.drashish.com/wp-content/uploads/2018/10/Cosmetic-Dentist-img02.jpg”]
[wp_fancybox_media url=”https://www.drashish.com/wp-content/uploads/2018/10/Cosmetic-Dentist-img03.jpg” type=”image” hyperlink=”https://www.drashish.com/wp-content/uploads/2018/10/Cosmetic-Dentist-img03.jpg”]
[wp_fancybox_media url=”https://www.drashish.com/wp-content/uploads/2018/10/Cosmetic-Dentist-img04.jpg” type=”image” hyperlink=”https://www.drashish.com/wp-content/uploads/2018/10/Cosmetic-Dentist-img04.jpg”]

