Replacing failing Implant Bridge
Fractured failing Implant Bridge
Fractured failing Implant Bridge
Malo Bridge -Zirconia Crowns by Dr. Ashish Shah
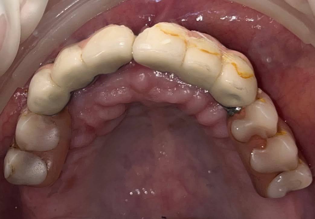
One Afternoon. Mrs. Mehta walked into our South Mumbai Dental Clinic. When we examined her, she had a broken Implant-supported bridge. This was worn out and fractured in spite of being done only a few months ago by a colleague. She came seeking strength, aesthetics, and long‑term peace of mind.
We replaced her fractured bridge with a Malo Bridge, featuring a titanium framework and monolithic zirconia crowns, all designed and milled via AI‑assisted CAD/CAM. Our digital workflow began with an intraoral scan and AI-optimised margin detection. The data was refined to micron-level accuracy and milled from premium zirconia and titanium, with precision only possible through CAD/CAM systems.
Just in a few Days, Mrs. Mehta had her dream smile. Above all, the fit of the crown and underlying framework was exceptional—no adjustments, no discomfort. She left with a radiant smile, confident in a restoration that blends strength, beauty, and cutting-edge science. With a digital design and AI precision, the bridge offers durability and lifelike aesthetics, backed by studies showing 99% survival rates for AI‑guided zirconia restorations.
All things considered, Implant Supported Malo Bridge remains our go-to choice in Treatment Protocols.
